The operation is performed to treat pain, stiffness or loss of function of the elbow associated with conditions such as arthritis, which damage the bearing surface of the elbow joint.

Elbow Replacement

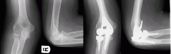
How is the procedure performed?

The operation is performed under a combination of general and regional anaesthesia. The elbow joint is exposed and the bearing surfaces of the joint are replaced with metal and plastic implants. You will spend 2-4 days in hospital.

Benefits

An elbow replacement renders the elbow relatively pain free, improves the range of movements and allows better use of the elbow and these in turn lead to an improvement in the quality of life.  

Alternatives

Painful arthritis of the elbow may be treated in the early stages with pain relieving medication, activity modification, physiotherapy, injections or arthroscopic surgery. If symptoms persist for a prolonged period of time despite trying some or all of these measures then joint replacement surgery may be appropriate.

Risks

Elbow replacement is complex surgery and the overall risk of complications is approximately 25% compared with 16% after hip replacement and 14% after knee replacement.

Surgical complications

Infection: This can occur after any operation where metal devices are implanted in the body. Several measures are employed to minimize the risk of infection including administration of antibiotics prior to the operation, an antiseptic technique and the use of a clean air theatre. The risk is 1-2%.

Nerve injury: This is possible but rare. The risk is 1-2%. Most nerve injuries recover.

Bleeding: Bleeding may occur during or after surgery. In very rare instances a blood vessel may be damaged as a consequence of injury or surgery. A blood transfusion is rarely required.

Thrombosis: Clots may develop in the deep veins of the arm or legs or rarely in the lungs. Several different preventive measures are employed during and after surgery. You can help yourself by keeping your ankles and toes moving and walking as soon as tolerated.

Swelling and Stiffness: The elbow swells and may feel stiff after surgery. You will be given advice on moving the elbow by the physiotherapists and it is important you follow these instructions.

Instability: The elbow may dislocate after unlinked elbow replacement surgery. This may occasionally require further surgery.

Periprosthetic fracture: The bones may fracture during the course of the operation if you have osteoporosis. This may necessitate delaying rehabilitation.

Triceps failure: Part or all of the triceps tendon is detached during the operation and reattached at the end of the procedure. If the tendon fails to heal it may lead to weakness of extension.

Osteolysis: The plastic components in joints may wear over time. This produces microscopic debris that leads to an inflammatory reaction in the bone and may lead to loosening of the components.

Loosening: Artificial joints may loosen due to mechanical wear and osteolysis over time resulting in pain.

Revision: If the artificial joint is not working satisfactorily due to pain, instability, loosening or infection then further surgery may be necessary to exchange the joint.

Medical complications

Chest infection, Urinary infection, Pulmonary embolism or Myocardial infarction are possible after surgery.

Aftercare

Following the procedure the skin incision will be closed with sutures and tape and covered with a shower-proof dressing. The elbow will be splinted in extension and the splint will be removed 48 hours after surgery to allow the elbow to be moved.  The dressing should be left undisturbed until the sutures are removed at 14 days. You will be shown how to start moving the elbow by a physiotherapist.  You will be provided with a sling, which may be removed intermittently to perform exercises. During the first 6 weeks it is important to avoid pushing up using the operated elbow. You should avoid lifting anything heavier than 2kg. You may resume driving once you have achieved control of the arm. Strengthening exercises are started after 12 weeks or when satisfactory movements and control have been regained. Outpatient physiotherapy will be arranged and may be continued for 3-6 months after surgery.

What are the different types of total elbow replacement?

Total elbow replacements can be broadly divided into two categories – unlinked or linked elbow replacement. 

Unlinked total elbow replacement 

As the name suggests, in an unlinked elbow replacement the two main (humeral and ulnar) components are not linked to each other. An unlinked elbow replacement may be performed in patients with good bone quality and in whom the shape of the joint is well preserved. This type of elbow replacement relies on the native ligaments and well functioning muscles for stability and may reduce the risk of polyethylene wear and thereby prolong the life of the joint.  The radial head may need to be preserved or replaced in an unlinked elbow replacement. Some unlinked elbow replacement designs are convertible and may permit conversion to a linked replacement at a later date without exchanging the implants.

Linked total elbow replacement 

In a linked elbow replacement the two main components are linked to each other forming a loose hinge. A linked elbow replacement is chosen when the ligaments are deficient or there is bone loss.

Choosing the right total elbow replacement

Choosing an elbow replacement depends on a number of different factors. Your surgeon will discuss the choices with you and will advise you of the most appropriate type of elbow replacement for your condition.