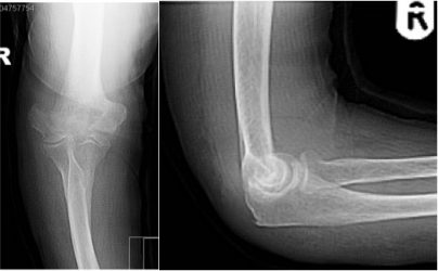
The operation is performed to treat fractures of the distal humerus in older individuals in whom there is irreparable damage to part of the upper bearing surface of the elbow joint. Severely fragmented fractures are not amenable to internal fixation and a hemiarthroplasty or partial replacement of the elbow generally allows earlier return of function.

How is the procedure performed?

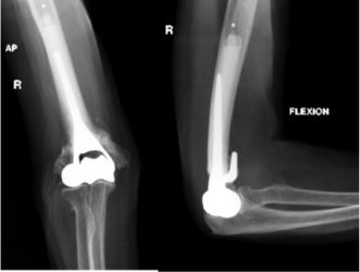
The operation is performed under a combination of general and regional anaesthesia. The elbow joint is exposed and some of the fractured bone fragments are removed. The distal end of the humerus (the arm bone) is replaced with a metal component of the appropriate size and shape. You will spend 2-4 days in hospital.

Benefits

An elbow hemiarthroplasty renders the elbow relatively pain free, and allows recovery of the range of movements and function leading to an improvement in the quality of life.  

Alternatives

In some instances the injury may be amenable to treatment without an operation. However this may leave the elbow with a degree of permanent pain and stiffness. If the fracture is not too severe then it may be possible to reconstruct the bony fragments and internally fix them with plates and screws.

Risks

Surgical complications

Infection: This can occur after any operation where metal devices are implanted in the body. Several measures are employed to minimize the risk of infection including administration of antibiotics prior to the operation, an antiseptic technique and the use of a clean air theatre. The risk is 1-2%.

Nerve  injury: This is possible but rare. The risk is 1-2%. Most nerve injuries recover.

Bleeding : Bleeding may occur during or after surgery. In very rare instances a blood vessel may be damaged as a consequence of injury or surgery. A blood transfusion is rarely required.

Thrombosis: Clots may develop in the deep veins of the arm or legs or rarely in the lungs. Several different preventive measures are employed during and after surgery. You can help yourself by keeping your ankles and toes moving and walking as soon as tolerated.

Swelling and Stiffness: The elbow swells and may feel stiff after surgery. You will be given advice on moving the elbow by the physiotherapists and it is important you follow these instructions.

Instability: The elbow may dislocate following surgery. It may be necessary to protect the elbow in a brace or splint after surgery to prevent this.

Periprosthetic fracture: The bones may fracture during the course of the operation. This may necessitate delaying rehabilitation.

Triceps failure: Part of the triceps tendon is detached during the operation and reattached at the end of the procedure. Occasionally the tendon may fail to heal and lead to weakness of extension.

Cartilage wear: As only part of the joint is replaced, the cartilage on the opposite bearing surface may wear over time. This is a slow process and may not cause symptoms. If symptomatic this may require later conversion to a total elbow replacement.

Loosening: Artificial joints may loosen over time resulting in pain.

Revision: If the artificial joint is not working satisfactorily due to pain, instability, loosening or infection then further surgery may be necessary to exchange the joint.

Medical complications

Chest infection, Pulmonary embolism or Myocardial infarction are possible.

Aftercare 

Following the procedure the skin incision will be closed with sutures and tape and covered with a shower-proof dressing. The elbow will be splinted in extension and the splint will be removed 48 hours after surgery to allow the elbow to be moved.  The dressing should be left undisturbed until the sutures are removed at 14 days. You will be shown how to start moving the elbow by a physiotherapist.  You will be provided with a sling, which may be removed intermittently to perform exercises. During the first 6 weeks it is important to avoid pushing up using the operated elbow. You should avoid lifting anything heavier than 2kg. You may resume driving once you have achieved control of the arm. Strengthening exercises are started after 12 weeks or when satisfactory movements and control have been regained. Outpatient physiotherapy will be arranged and may be continued for 3-6 months after surgery.

Distal humerus fracture in a 90 year old lady
Appearance after hemiarthroplasty