Calcific tendonitis is a painful condition of the shoulder, which tends to affect individuals between the ages of 30 and 50 years. The condition usually commences with insidious onset of pain in the shoulder. Pain may persist at tolerable levels for many years before becoming severe.

Calcific Tendonitis

What is the pathology of Calcific Tendonitis?

Calcium hydroxyapatite crystals are deposited in the rotator cuff most commonly in the supraspinatus tendon. The exact cause of this is unknown. In the initial “formative” phase, tenocytes (tendon cells) get converted to chondrocytes (cartilage cells) and calcium is deposited inside the chondrocytes. Small deposits merge to form a larger deposit. At this stage, symptoms are mild and often mimic subacromial impingement. This stage may last for some years. Later, in the “resorptive” phase, blood vessels proliferate at the edges of the calcium deposit and the body mounts an inflammatory response to try and clear the deposit. This inflammation is associated with worsening of pain.

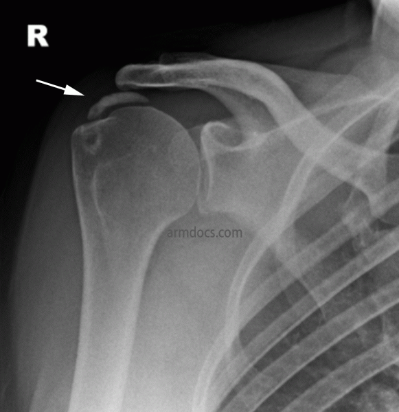
How is Calcific tendonitis diagnosed?

The condition is diagnosed from the history of a painful shoulder, which has developed gradually over time. In the early stages, pain is often aching in nature, usually intermittent and experienced when reaching overhead and often when lying on the shoulder at night. Some patients will experience a sudden onset of excruciating pain, which severely limits their ability to use the arm for even simple daily activities. Examination shows pain with certain movements of the shoulder and on special rotator cuff tests. An ultrasound scan may demonstrate the location and size of the calcium deposit in the rotator cuff. An X-ray is essential to look at the size, location and type of the calcium deposit. MRI scans are generally unnecessary but may sometimes be useful when pain is of acute onset.

What is the treatment for Calcific tendonitis?

In the early phase, pain may be controlled with activity modification and the use of pain relieving or anti-inflammatory medication.

Supervised physiotherapy: You may be advised to see a physiotherapist to start a regime of specific exercises to maintain movements and overcome stiffness. Vigorous exercises should be avoided as these may aggravate symptoms.

Steroid injection: A steroid injection placed accurately into the subacromial space will often provide good short to medium term pain relief. Injections may be repeated after intervals if symptoms are mild.

Shockwave therapy: This is a non-invasive treatment, which aims to stimulate the body’s natural healing process for this condition. At least three treatments are required at weekly intervals.

Needling: Small calcium deposits may be amenable to treatment with needling (or “Barbotage”) and aspiration under local anaesthesia using ultrasound guidance. Following aspiration, steroid is usually injected into the subacromial bursa.

Surgery: If symptoms are troublesome and persist despite nonoperative treatment, it may be appropriate to undertake arthroscopic or “key-hole” surgery to remove the calcium deposit. For further information on surgical treatment, please refer to the section on Arthroscopic treatment of calcific tendonitis.