The Rotator cuff is a group of 4 small tendons in the shoulder. A rupture of one or more of these tendons is known as a rotator cuff tear.

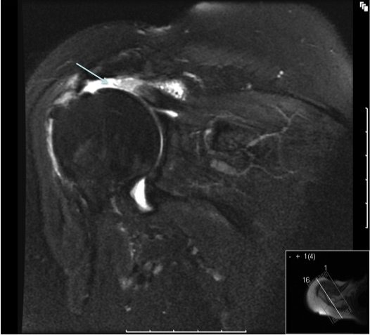
Rotator Cuff Tear Mri

Natural History

The majority of rotator cuff tears do not heal naturally. Asymptomatic tears are not uncommon in the general population over the age of 50 years. There is good evidence to suggest that over time a substantial proportion of tears will enlarge albeit gradually and become symptomatic. 

How does a rotator cuff tear develop?

Healthy tendons rarely tear. A rotator cuff tear may result from wear and tear in the tendon or sometimes as a result of an injury such as a fall. In individuals over the age of 40 rotator cuff tears can occur as a result of dislocation of the shoulder.

How is a Rotator cuff tear diagnosed?

The condition usually commences with a gradual onset of pain in the shoulder. A diagnosis of Rotator cuff tear is made based on the history of a painful shoulder and/or weakness. Pain is usually intermittent and experienced when reaching overhead or when lying on the shoulder at night. The arm may tire more easily with activity. Individuals may find it difficult to raise the arm above the shoulder. A tear should be suspected if weakness develops in the shoulder after an injury. Examination shows pain with certain movements of the shoulder and weakness on special rotator cuff tests. An X-ray is essential to look at the shape of the acromion and the rest of the joint. An ultrasound scan may confirm the diagnosis. Special imaging with an MRI scans is sometimes necessary to obtain further information about the location and size of the rotator cuff tear, the state of the joint and the muscles of the rotator cuff.

How is a rotator cuff tear treated?

In the early phase, pain may be controlled with activity modification and the use of pain relieving or anti-inflammatory medication. 

Supervised physiotherapy: You may be advised to see a physiotherapist to start a regime of specific exercises to maintain movements, overcome stiffness and improve the function of the healthy part of the rotator cuff. Exercises to improve the strength of the deltoid can improve overall function of the shoulder.

Steroid injection: A steroid injection placed accurately into the subacromial space will often provide good short to medium term pain relief allowing progress to be made with physiotherapy. Repeated injections are not advisable as there is a possibility of the condition of the tendon deteriorating. For further information on steroid injection in the shoulder click here.

Surgery: If symptoms are troublesome and persist despite nonoperative treatment, it may be appropriate to undertake surgical treatment.  This consists of arthroscopic or “key-hole” surgery to repair the torn tendon and decompress the subacromial space by shaving some bone from the undersurface of the acromion. Following surgery symptoms will usually settle over a period of time. Full recovery may take 6-12 months.

For further information on surgical treatment, please refer to the section on Rotator cuff repair.