The olecranon is part of the ulna, which is one of the bones in the forearm and the olecranon forms part of the elbow joint. The triceps tendon is attached to the olecranon. A fracture of the olecranon usually results from a fall on the outstretched hand or on to the point of the elbow. Olecranon fractures are sometimes associated with elbow dislocations. 

Olecranon Fracture

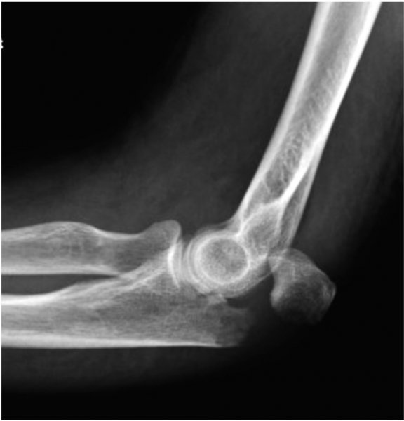
How is a olecranon fracture diagnosed?

Fractures of the olecranon may be suspected from the mechanism of injury resulting in pain, deformity and bruising over the outer aspect of the elbow. The diagnosis is confirmed on X-rays of the elbow. In some instances a CT scan may be arranged to study the fracture in greater detail and help plan surgical treatmen

How is an olecranon fracture treated?

Non-operative treatment

The initial treatment will consist of supporting the arm in a sling, the use of oral pain medication and advice on protection of the elbow. Whilst your arm is in a sling you will be advised to keep the fingers, wrist and shoulder moving to prevent stiffness. As the pain in the elbow settles, you will be encouraged to start gradually moving the elbow. If the fracture is minimally displaced and the movements of the elbow are not impeded, this treatment is continued until the fracture has healed.

Surgical treatment

In cases where the fracture is displaced or fragmented or if the fracture is associated with a dislocation of the elbow, the fracture may be treated with an operation. The exact nature of the operation will depend on the location and pattern of the fracture.

Internal fixation: This is the preferred method of treatment in selected displaced fractures of the olecranon. It consists of realigning the fragments of bone to restore the shape of the bone and then fixing the fragments with metal devices such as a plate and screws or wires; the metal devices hold the position of the fragments until the fracture has healed. The fracture will usually heal over a period of 3 to 6 months.

Fragment excision: Small fractured fragments of bone may be treated by removing the bone fragments and reattaching the triceps tendon to the remainder of the bone.

How long does it take to recover from a olecranon fracture?

Recovery will depend to some extent on the severity of the fracture, any associated ligament injuries and the type of treatment. Pain usually starts easing within a couple of weeks. You may start using the hand and elbow, as the arm gets comfortable. Office duties may be resumed within 2-3 weeks. Strenuous task should be avoided until the fracture has healed over a period of 3-6 months.