Mr Patel and Mr Little offer a training fellowship for individuals aspiring to a career in Shoulder and Upper Limb Surgery.

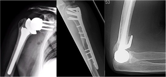
Fellowship Montage

Epsom and St Helier University Hospitals NHS Trust

Fellowship

This is a senior fellowship in Shoulder and Elbow Surgery linked to the BOA Future Leaders' Programme.

Institution

Epsom and St Helier University Hospitals NHS Trust and

South West London Elective Orthopaedic Centre (SWLEOC)

Tenure

12 months (from October to September)

Aimed at

ST8 Orthopaedic Trainees & Post-CCT Surgeons (UK & Overseas)

Information

The Shoulder Unit is run by 2 Consultants (Vipul Patel and Nick Little) and supported by specialist physiotherapists. The team sees a wide range of elective shoulder and elbow cases as well as trauma referral cases.

This post has been planned with the aim of preparing the incumbent for a consultant appointment. It is funded through the NHS with salary at SpR level with appropriate banding for on-call commitments.

The Fellow will be exposed to all aspects of shoulder and elbow surgery including arthroscopic procedures, arthroplasty, trauma and revision surgery. There are regular weekly elective and upper limb trauma lists with both of the supervising consultants. There is the opportunity for parallel and independent operating as experience allows.

The fellowship enables the fellow to participate in the on call rota on weekends acting as a senior registrar with a junior registrar below them. This allows for additional exposure to general trauma cases without detracting from the day to day timetable of the fellow.

The Fellow will be actively involved in research and audit and will be responsible for running the fortnightly MDT meeting. They will be expected to take on and, potentially, initiate original research which should lead to presentations and publications.

The Fellow will be expected to participate in a service improvement project as part of the BOA Future Leaders' programme which provides an excellent insight into the managerial aspects of consultant practice.

The fellowship prides itself on its excellent operative training and supervision and maintains a training list ethos to its weekly timetable rather than a pure service provision only.

Timetable

Mon – All day elective list
Tues – AM Research or FU Clinic cover / PM Upper limb trauma list
Wed – All day elective list
Thurs – AM Shoulder and elbow clinic / PM Upper limb trauma list or elective clinic
Fri Am – Alt MDT followed by Shoulder and elbow clinic OR Fracture clinic / PM Research
On calls – weekends only 1:9

Please Contact

If you are interested please get in touch or send a CV to
Claire Scott (PA) - claire.scott8@nhs.net
Telephone 07881 037685