Natural History
Partial tears may heal and may need protection during healing. Complete tears of the biceps tendon do not heal naturally as the tendon is pulled up into the arm by the biceps muscle.
What is the pathology of a biceps tendon tear at the elbow?
Healthy tendons rarely tear. A biceps tendon tear occurs when a tendon weakened by wear and tear in the tendon is overloaded.
Partial tear: As the name suggests only part of the tendon is torn. As part of the tendon is intact there is no change in the shape of the muscle.
Complete tear: When the tendon is completely torn the tendon gets pulled up by the muscle and shape of the muscle changes.
How is a biceps tendon tear at the elbow diagnosed?
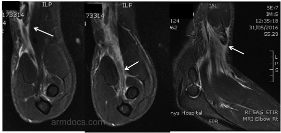
A diagnosis of biceps tendon tear is made based on the history of sudden pain and a snapping sensation on the front of the elbow whilst lifting a heavy object. This may be associated with a feeling of weakness. Examination in individuals with a complete tear of the tendon shows a change in the contour of the biceps muscle referred to as a reverse “Popeye” sign. There may be some bruising on the front of the elbow. In the injured elbow it is not possible to hook a finger around the biceps tendon at the elbow (a positive “hook” test). In individuals with partial tears the tendon may be felt at the elbow but will be tender on squeezing. An ultrasound or MRI scan may be requested if the diagnosis is in doubt.

How is a biceps tendon tear at the elbow treated?
In the early phase, pain may be controlled with the use of pain relieving or anti-inflammatory medication.
Nonsurgical treatment: Partial tears may be treated initially with activity modification, protection and physiotherapy. Less active individuals with complete tears may choose not to have surgery for this injury. Pain usually settles fairly quickly but individuals may experience some weakness of the elbow or aching particularly with activities, which require twisting movements of the forearm. Physiotherapy is helpful to restore movements and strengthen the muscles which compensate for the torn biceps tendon.
Surgery: For partial tears, surgery may be considered if the symptoms have not responded to a period of nonsurgical treatment. Most active individuals with complete tears of the biceps tendon will be offered the choice of having the tendon repaired surgically. The operation is best performed within the first 2-3 weeks after the injury. Outcomes are generally good. For further information on surgical treatment, please refer to the section on “Biceps tendon repair at the elbow”.