Subacromial pain is one of the commonest complaints related to the shoulder, which commonly affects active individuals. The condition, which is also known as “rotator cuff tendinopathy” or “impingement syndrome”, usually commences with insidious onset of pain in the shoulder. Occasionally the pain may follow an injury to the shoulder.

Rotator Cuff Impingement

What is the pathology?

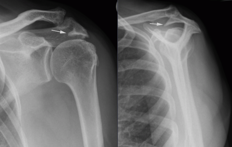
The tendons of the rotator cuff suffer wear and tear over time. This results in thickening of the tendons and occasionally there is some roughness on the undersurface of the acromion or a spur, which impinges on the rotator cuff when the arm is elevated resulting in pain. In some instances there may be a partial or complete tear of the rotator cuff tendons. Sometimes pain may be related to wear and tear in the tendon of the long head of the biceps.

How is subacromial pain diagnosed?

A diagnosis is made based on the history of a painful shoulder. Pain is usually intermittent and experienced when reaching overhead and often when lying on the shoulder at night. Examination shows pain with certain movements of the shoulder (such as lifting the arm above shoulder height) and on special rotator cuff tests. An X-ray may be useful to look at the shape of the acromion and the rest of the joint. An ultrasound scan may be performed to examine the state of the rotator cuff. Special imaging with an MRI scans is sometimes necessary.

How is subacromial pain treated?

In the early phase, pain may be controlled with activity modification and the use of pain relieving or anti-inflammatory medication.

Supervised physiotherapy: You may be advised to see a physiotherapist to start a regime of specific exercises to maintain movements and improve the function of the rotator cuff. There is good evidence to suggest that supervised physiotherapy improves symptoms in the early phase of the condition. The British Elbow and Shoulder Society (BESS) Patient resource on Subacromial Pain has useful information including a help sheet and description of exercises with videos.

Steroid injection: A steroid injection placed accurately into the subcromial space will often provide good short to medium term pain relief allowing progress to be made with physiotherapy. The injection may be repeated on one or two occasions at intervals. It is not advisable to have multiple repeated injections. For further information on steroid injections click here.

Surgery: If symptoms persist despite adequate nonoperative treatment, it may be appropriate to undertake surgical treatment. This consists of arthroscopic or “key-hole” surgery to decompress the subacromial space by shaving some bone from the undersurface of the acromion. Following surgery symptoms will usually settle over a period of time. For further information on surgical treatment, please refer to the section on Arthroscopic subacromial decompression overleaf.