A complex elbow fracture is a fracture involving more than one bone or associated with dislocation of the elbow. These injuries are amongst the most challenging to treat. 

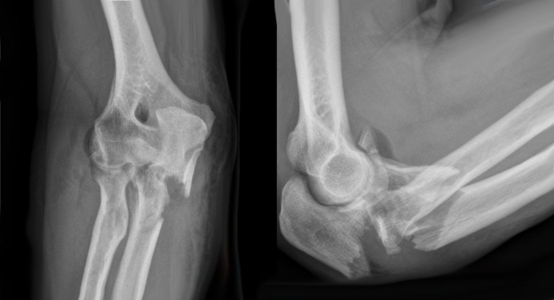
Complex Elbow Fracture 1

How is a complex elbow fracture diagnosed?

Complex fractures of the elbow may be suspected from the mechanism of injury resulting in pain, deformity and bruising over the elbow. The diagnosis is confirmed on X-rays of the elbow. In some instances a CT scan may be arranged to study the fractures in greater detail and help plan surgical treatment.

How is a complex elbow fracture treated?

Non-operative treatment

The initial treatment will consist of supporting the arm in a sling, the use of oral pain medication and advice on protection of the elbow. Whilst your arm is in a sling you will be advised to keep the fingers, wrist and shoulder moving to prevent stiffness. A cast may be applied temporarily to support the elbow.

Surgical treatment

In most instances these injuries are best treated with operative fixation. The exact nature of the operation will depend on the location and pattern of the fractures. Surgery may include any of the following procedures:

Internal fixation: This is the preferred method of treatment in for fractures around the elbow. It consists of realigning the fragments of bone to restore the shape of the bone and then fixing the fragments with metal devices such as screws with or without a plate; the metal devices hold the position of the fragments until the fracture has healed. The fracture will usually heal over a period of 3 to 6 months.

Radial head replacement: Fractures of the radial head that are severely fragmented may not be amenable to repair. These fractures may be treated with radial head replacement.

Hinged external fixator: A hinged external fixator is a device used to support the elbow when there is severe ligament damage rendering the joint unstable. It consists of threaded pins inserted into the bones through the skin and soft tissues and connected on the outside with bars with a hinge. The fixator is usually left in place for at least 6 weeks to allow time for healing of the ligaments and soft tissue structures around the joint.

How long does it take to recover from a complex elbow fracture?

Recovery will depend to some extent on the severity of the fracture, any associated ligament injuries and the type of treatment. Pain usually starts easing within a few weeks. You may start using the hand and elbow, as the arm gets comfortable. Office duties may be resumed within 3-4 weeks. Strenuous task should be avoided until the fracture has healed over a period of 3-6 months. Full recovery may take 12-18 months. Some limitation of movements towards the end of the range may persist.