The procedure is performed to treat severely fragmented fractures of the radial head.

Radial Head Fracture With Dislocation

How is the procedure performed?

The procedure is performed under a combination of general and regional anaesthesia. An incision is made over the outer aspect or the back of the elbow. The joint is exposed. The fragments of bone are removed. The neck of the radius is prepared and a radial head prosthesis is inserted. Any damaged ligaments are repaired. At the end of the procedure the overlying muscles are repaired and the skin is closed with sutures placed deep to the skin.

Benefits

The main benefit of the procedure is to restore stability and improve the function of the joint. 

Risks

Surgical complications

Pain - The elbow may be painful for some days after surgery.  This is usually managed by taking appropriate pain relieving medication and activity modification. 

Bruising – Bruising may occur around the joint and the scar and usually resolves 2-3 weeks after surgery. 

Bleeding – A small amount of bleeding from the surgical wound is not unusual and will usually settle after a day or two. 

Numbness around the scar:  A small patch of numbness adjacent to the scar is not uncommon but does not cause any functional problems.

Infection – Infection is a possibility but is rare (1%). You will be given antibiotics as a precaution.  

Nerve injury – This is possible but rare.

Instability:  Dislocation is a possibility. The elbow may be protected in a splint or a sling after surgery.

Stiffness: This is not uncommon following injury and surgery. In most instances it will resolve as you start moving the elbow with the aid of physiotherapy.

Heterotopic ossification: New bone may occasionally form outside the joint and impede movements, leading to stiffness. This may require surgery to remove the excess bone.

Implant related symptoms: These are uncommon. Further surgery to remove the device is rarely necessary.

Medical complications

Chest infection, Deep vein thrombosis, Pulmonary embolism, Myocardial infection are possible after surgery.

Aftercare

Following the procedure the surgical wound is covered with a shower-proof dressing.  The dressing should be left undisturbed as far as possible for 14 days.  If the dressing is removed for any reason it should be replaced with a similar dressing or waterproof plaster. Prior to discharge from hospital a physiotherapist will provide instructions about looking after the elbow.  You will be advised to protect the elbow by wearing a sling for 4 weeks and intermittently performing movements of the elbow within certain limits. After 4 weeks you may stop wearing the sling and will be allowed to move the elbow actively through a greater range. You may resume driving at 4-6 weeks. Strengthening exercises are started after 8-10 weeks. Vigorous use of the arm or lifting heavy objects should be avoided for at least 3 months. Outpatient physiotherapy will be arranged and may need to be continued for 3-6 months.

Follow-up

An appointment will be arranged for you to be seen 2 weeks after the procedure.  Follow-up may be required for at least 12 months after surgery or until a satisfactory recovery is achieved. 

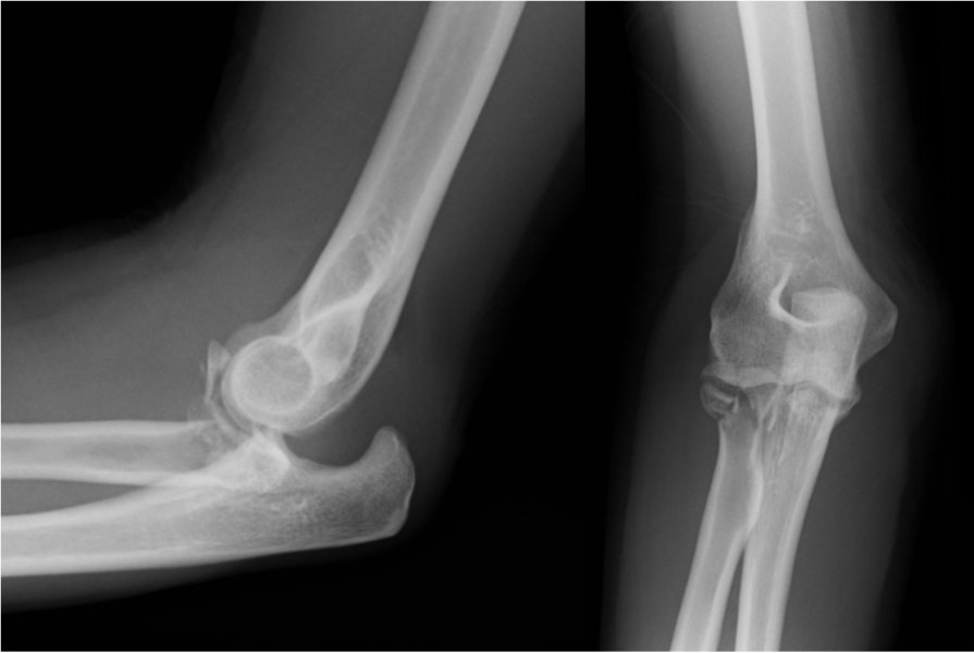
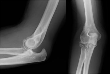
2a. Displaced fracture of the radial head with dislocation of the elbow
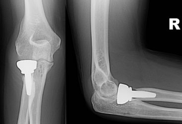
2c. X-rays after radial head replacement and ligament repair